McLean, VA Crown Lengthening Reshape gum tissue for a beautiful, healthy smile
The smile you deserve
Crown lengthening (sometimes called gum and bone contouring) is a simple surgical procedure to remove excessive gum tissue and expose more of your tooth structure. It can be performed on one tooth, several teeth, or your entire gum line — all right here in our McLean, VA office.
Crown lengthening should always be performed by a qualified specialist. As a board-certified periodontist, Dr. Hasan is an expert in all matters concerning your gums. Your smile is in good hands at Sculpt Center for Implants & Periodontics.
Is crown lengthening right for you?
Crown lengthening offers incredible benefits for your health and appearance.
- Creates an even, uniform gum line and smile
- Transforms a “gummy smile” (making short teeth appear longer)
- Restores gums damaged by periodontal disease
- Ensures successful veneer placement
- Adds space between your jawbone and a dental crown
- Access to treat tooth decay or fractures below your gum line
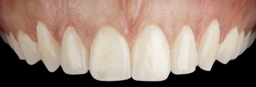
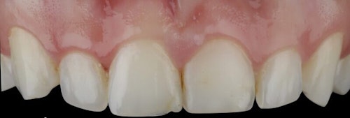
PATIENT
Transformations




EXPERIENCE MATTERS
Fadi Hasan
DDS, MSD, DABP
Dr. Hasan is uniquely qualified to improve the health and beauty of your gums. He specializes in crown lengthening and other procedures related to the teeth’s supporting structures. Dr. Hasan takes an interdisciplinary approach, coordinating your care with a team of leading specialists to improve every aspect of your health and smile.

Questions? Learn more here
How do I know if I need crown lengthening?
There are several reasons why gum contouring may be recommended as part of your treatment plan:- Protection from Gum Disease: Evening out the gum line can reduce risks of periodontal disease and tooth loss.
- Restoring Teeth: This procedure is crucial for treating severe decay or fractures below the gum line, allowing for effective dental restoration.
- Preparation for Dental Crowns: Crown lengthening creates the necessary space for a dental crown, ensuring it doesn’t harm gum tissue or bone.
- Cosmetic Improvements: If an uneven gum line affects your smile, reshaping the gums can create a more balanced appearance.
How does crown lengthening work?
During the procedure, Dr. Hasan will carefully and artfully sculpt the gums and sometimes the underlying bone to uncover the full surface of the teeth. Our goal is to create a symmetrical and beautiful gum line that perfectly frames your smile while ensuring your complete comfort.
What should I expect during the crown-lengthening recovery period?
After crown lengthening, you might experience some swelling and discomfort, which can be managed with prescribed pain relievers and cold compresses. It’s advisable to eat soft foods and avoid strenuous activities for a few days. Additionally, your dentist will provide specific guidelines on how to brush and floss during the healing process to avoid irritating the treated area.
No Referral Needed
Reshape your smile with gum contouring
We welcome the opportunity to solve both aesthetic and structural concerns caused by a gummy smile. During your initial visit, Dr. Hasan will thoroughly assess your gum health, discuss your goals, and create a personalized treatment plan. Together, you’ll discuss whether or not gum contouring is the best procedure to address your health and smile.

