All-on-4 Dental Implants McLean A Brand-New Smile in Just One Visit
Dr. Fadi Hasan is a board-certified, award-winning periodontist with extensive clinical experience in implant dentistry. Using minimally invasive techniques, he can perform the All-on-4® dental implant method and provide you with a functional, lifelike denture in just one appointment.
How You Can Receive All-on-4 in One Appointment

Undergoing the dental implant procedure with oral surgeons often requires several appointments and healing periods over several months before patients can enjoy a beautiful, stable, and functional smile. Dr. Hasan streamlines the process at his McLean dental office so patients can enjoy their results much faster, without sacrificing the quality of care.
With his precise planning and state-of-the-art technology, Dr. Hasan can place your All-on-4 implants and secure a lifelike denture in one appointment. Our patients can return to their lives with the ability to chew the foods they love, smile with confidence, and speak with clarity. Once you’ve finished healing in about six months, you can return to our office so our team can attach your permanent denture.
No matter the state of your smile, you’re not a hopeless case. Dr. Fadi Hasan excels in treating patients who need extensive work at his McLean, VA, office. Even if another dentist has said your case is too complex, Dr. Hasan may be able to provide you with a solution.
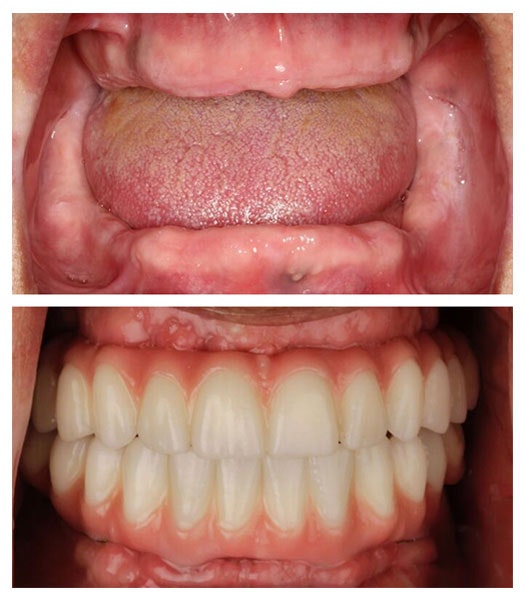
Hear From Wendall A Sculpt Center Implant Denture Patient
Wendall was missing many of the teeth along his upper arch. When a traditional denture didn’t provide him with the functionality he needed, he decided it was time for an implant-supported denture with Dr. Hasan.
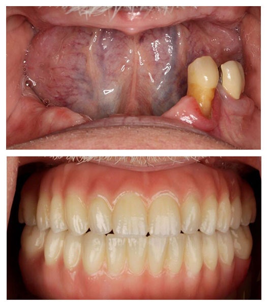
All-on-4 Transformations



McLean Chooses Dr. Fadi Hasan for All-on-4 Dental Implants
McLean patients have grown to trust Dr. Hasan for dental implant placement surgery. He’s a prime choice for your All-on-4 treatment because he:
- Is board certified by the American Academy of Periodontology, the American Board of Periodontology, and the Academy of Osseointegration.
- Is one of the few periodontists with a superior level of specialization, allowing him to treat even the most complex cases.
- Has been published in peer-reviewed journals on the topics of platelet rich fibrin (PRF) and implant dentistry.
- Has completed additional training and certification in implant dentistry.
- Has completed hundreds of full-mouth dental implant cases.
- Was named “top periodontist” by his peers in Washingtonian magazine.

With all these qualifications and more, your smile is in good hands when you choose Dr. Hasan at Sculpt Center for Implants & Periodontics.
I’m so happy to find Doctor Hasan. Everyone told me I could not have this surgery done but I found him and he was like an angel telling me that he could work miracles and make this happen for me. I had no bone for implants and now I have enough to get the implants I need! I highly recommend Dr. Hasan and his entire staff! Could not be happier with the results and the whole experience overall.
View on GoogleDr. Fadi Hasan is truly a skilled professional. His knowledge and experience in implants and periodontics are evident in his meticulous approach and attention to detail. He took the time to explain each step of the procedure, addressing all my concerns.
View on Google“My patients can trust me and they can trust their families with me. Most doctors don’t share their phone number, but I say, ‘Call me, text me, bug me. If you need me, I’ll get back to you one way or another.’ That’s what I do for all my patients. They get a true VIP experience at my practice. We want to make them feel they can reach out to us at a moment’s notice.”
Dr. Fadi Hasan
How We Make All-on-4 Affordable
Dental implants are an investment that significantly improves patients’ smiles and overall health. To make this life-changing treatment more affordable:
We Accept Financing
We accept financing through CareCredit®, Cherry, Proceed Finance, and LendingClub. These trusted third-party lenders allow patients who qualify to pay for their dental care in affordable monthly installments. You could qualify for $0 down plus zero-interest financing.
We Submit Insurance Claims
We are out of network with all insurance companies, but we can submit paperwork to your insurance company on your behalf. Reimbursement from your insurance plan will be sent directly to you.
We Accept Credit Cards
Our office accepts American Express, Visa, Discover, and Mastercard, so you can earn cashback bonuses, points, and other rewards for your treatment. Payment is due at the time of your procedure.
How the All-on-4 Method Works
The All-on-4 dental implant method involves Dr. Hasan placing four dental implants along a dental arch. These implants are placed in the areas with the most bone density and at strategic angles for maximum support. This technique often allows patients to skip preparatory bone grafting, though your treatment plan will be unique to your situation.
Dr. Hasan
Also Offers All-on-X
if You Don’t Qualify for All-on-4
While many patients are eligible for the All-on-4 technique, others require more stability, and therefore, more implants. Using the All-on-X method, Dr. Hasan can determine how many implants you’ll need to secure your denture, maximizing the available bone density and achieving the most secure fit possible.
Ultimately, your dental implant plan could involve 4, 6, or 8 implants.
Dr. Hasan Discusses the Benefits of Implants in All-on-X and All-on-4 Procedures
All-on-4 and All-on-X allow patients to get a full arch restoration, even if they’ve suffered from considerable bone loss in their jawbone.
Candidates for All-on-4
Candidates for the All-on-4 implant method with Dr. Hasan include patients who:
- Desire fast results
- Are tired of loose or ill-fitting dentures
- Have broken, failing, and infected teeth
- Are missing all or most of their teeth
- Don’t have a medical condition that would affect bone healing
To find out if you’re a candidate for the All-on-4 technique, simply request an initial consultation with Dr. Hasan. No referral is needed.
Your Dental Implant Placement Surgery The Step-by-Step Process
We have seen firsthand how dental implants, the All-on-4 method, and other restorative procedures can transform patients' lives. We want to transform your life, too.
FAQ About All-on-4
What are the benefits of an implant-supported denture?
Dental implants preserve bone tissue and keep the jaw from atrophying, preventing widespread problems. A denture allows you to eat the foods you love, speak with clarity, and smile with confidence. Ultimately, this solution allows many patients to enjoy better oral and overall health and an improved quality of life.
Is an implant-supported denture better than a traditional denture?
For a lot of patients, yes. Traditional removable dentures can feel loose in the mouth and limit the foods you can eat. They’re also high maintenance and don’t prevent jawbone deterioration. Dental implants are the gold standard in tooth replacement, as they provide unmatched comfort and stability for dentures. With implants, you can treat your denture like you would natural teeth.
How do I care for my implant-supported denture?
Simply brush your denture twice a day with a soft-bristle toothbrush and nonabrasive toothpaste. You should also floss once a day with a floss threader. Floss threaders allow you to clean under your denture and around your implants.
How long will my denture and implants last?
With proper care, your denture can last 10-20 years or more and your implants can last the rest of your life. Your dentist will keep an eye on your implants and let you know when it’s time to replace your denture.
Have Another Question?
“Dr. Hasan is amazing!”
Our Doctor Earns 5-Star Reviews
Dr Hassan is amazing! He is perfection at its finest and that matters for me when it comes to dental surgery! I have never had dental implants without IV sedation until I discovered Dr. Hasan. I knew immediately and based on gum and bone graft procedures that his skills were unique and at the perfection level. If you need a perfectionist with little to no pain in a periodontist than Dr. Hassan is your dental professional. Love his commitment and dedication to his craft.
View on Google
In my opinion , hands down the Most competent, compassionate and Knowledgeable periodontist in the DC area. Doctor Hasan and his entire team go above and beyond. From the moment you walk in Everybody from the receptionist to the assistant to the office manager, And dr Hasan himself Literally treat you like family. I cannot Thank you guys enough. If I could give 10 stars I would.
View on Google
