McLean, VA Gummy Smile Periodontist Achieve a harmonious smile
Professional gum reductions for a more confident smile
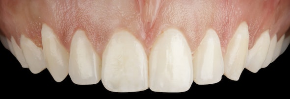
A gummy smile happens when too much of your gum shows above your teeth when you smile. If you’re looking for a more balanced look, our McLean VA gummy smile correction treatment might be just what you need. This procedure carefully reshapes the excess gum tissue to reveal more of your teeth, creating a well-proportioned smile.
Schedule Today
Dr. Hasan is an expert in fine-tuning the balance between your gums and teeth for that perfect smile ratio. With our specialized gum contouring procedure, you’ll see immediate improvements:
- A more balanced smile
- Greater confidence
- Overall boost in how you feel about your appearance
What is gummy smile correction?
Gummy smile correction is a dental procedure that addresses excessive gum display when smiling. Treatment options such as aesthetic gum contouring and crown lengthening help create a more balanced and confident smile.
Factors such as gum health, tooth alignment, and facial aesthetics are taken into consideration to ensure the best possible results. Dr. Hasan specializes in correcting gummy smiles. He offers safe and effective care tailored to your needs, providing lasting results and renewed confidence.
Is gummy smile correction right for you?
Oral Health Benefits
Gummy smile correction creates an environment easier to clean, reducing the risk of gum disease and tooth decay.
Enhanced Aesthetics
Gum contouring can transform your smile by addressing excessive gum display and creating a balanced, proportionate appearance.
Improved Confidence
Eliminating a gummy smile can boost your self-confidence and enhance your overall sense of well-being.
Long-lasting Results
This treatment delivers lasting results, allowing you to enjoy a beautiful smile for years.

Gum Contouring Attractively Frames Your Smile
          
        PATIENT
Transformations      
          






EXPERTISE MATTERS
Dr. Fadi Hasan
DDS, MSD, DABP
Dr. Hasan is uniquely qualified to treat excessive gingival display. As a periodontist, he specializes in aesthetic gum contouring, crown lengthening, and other procedures related to the gums. Dr. Hasan takes an interdisciplinary approach, coordinating treatment with a team of leading specialists to improve every aspect of your health and smile.
 
No Referral Needed
Get started now
During your visit, Dr. Hasan will thoroughly assess your gum health, discuss your goals, and create a personalized treatment plan. We’ll discuss whether gum contouring will best address your concerns. We welcome the opportunity to solve both aesthetic and structural concerns caused by gum excess.


